2026年
最新版
|
|
|
|
|---|---|---|
| おすすめポイント | ||
|
毎月30名限定 1回お試し1,650円※1 |
ホワイトニング併用可※2 |
精密検診無料 |
| 初診料 | ||
|
0円 |
0円 |
0円 |
| 料金プラン | ||
|
8回コース 月額1,925円~ |
10回コース 月額約3,100円〜 |
ライトパッケージ 月額3,300円~ |
| 追加料金 | ||
|
毎月の調整料0円 |
再診料3,300円〜※3 |
再診療 5500円※3 |
| 矯正期間 | ||
|
3ヶ月〜 |
2.5ヶ月〜 |
詳しくは検診で確認 |
| 提携院数 | ||
|
全国153院 |
全国125院 |
全国23院 |
目立たず、歯の矯正ができるマウスピース矯正。
その効果や矯正にかかる期間・費用など
わからないことばかりで、不安ですよね…。
ユーザーの声や、実際の症例を交えて
効果や矯正にかかる期間・費用、他の歯列矯正との違いなどを徹底解説していきます。
マウスピース矯正は、
「目立ちづらい見た目+自由に取り外しできる」
ことから私生活へ支障を出来るだけ少なく歯を矯正したい方におすすめです!
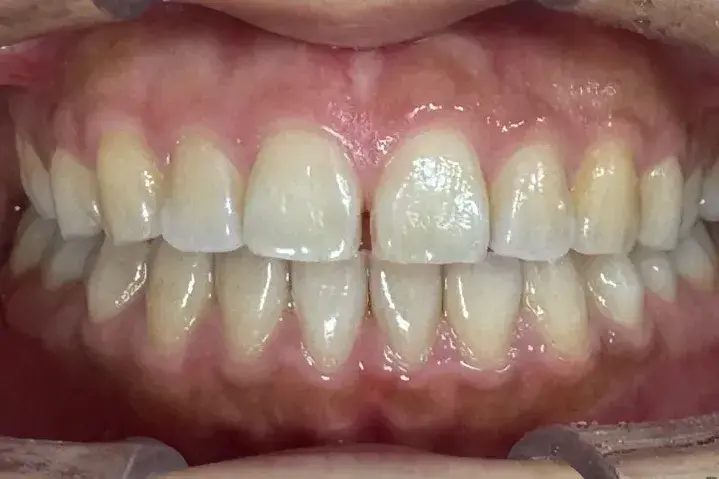
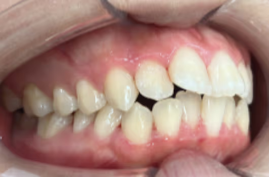
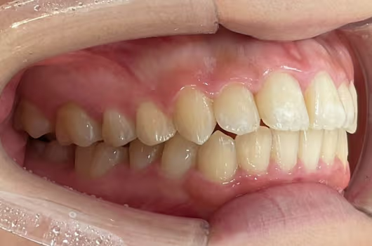
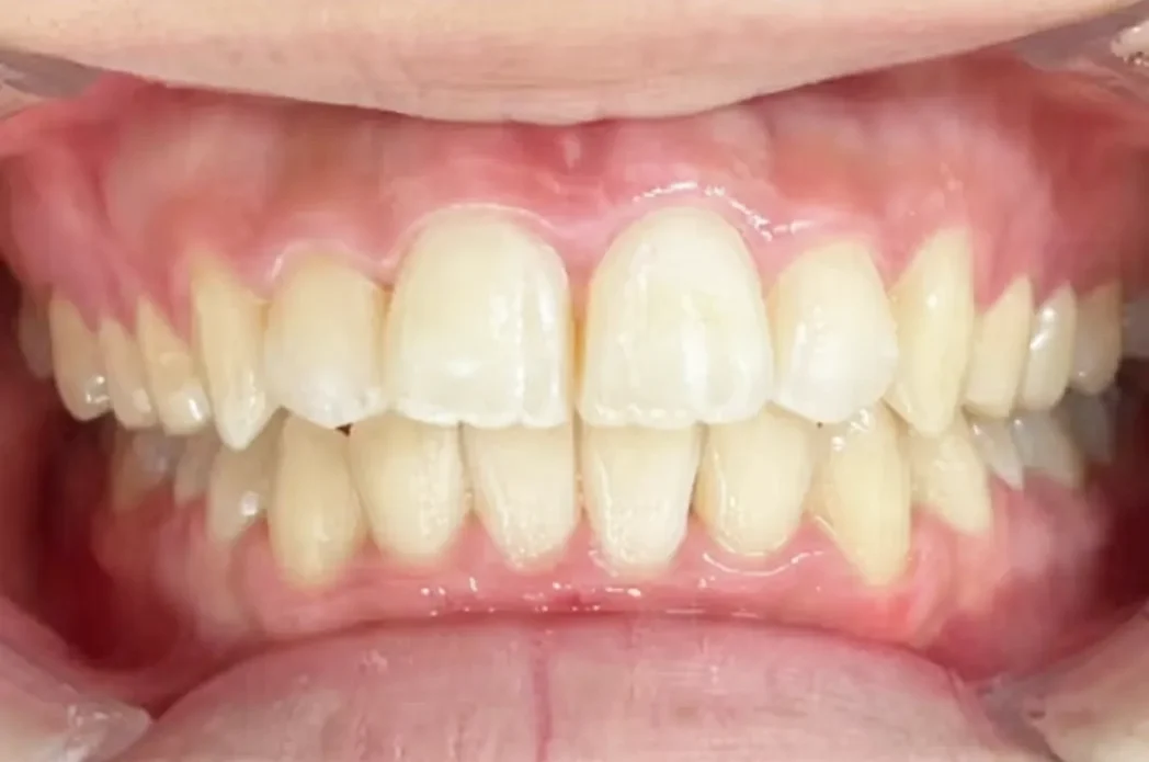
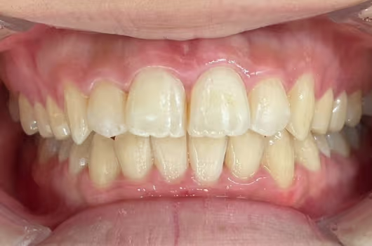
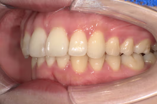
まずは実際にマウスピース矯正を受けた方のビフォーアフターをご紹介します。
CASE
ー 実際の症例 ー
-
BEFORE
AFTER
費 用
23.1万円(月額3,850円) 治療期間
4ヶ月目 -
BEFORE
AFTER
費 用
51.7万円(月額8,580円) 治療期間
9ヶ月目
矯正治療上のリスクとして、治療中の虫歯、歯根吸収、歯肉炎 ・歯周炎の発生などが考えられる。
見た目や私生活への影響の少なさから
注目されているマウスピース矯正ですが
「費用をおさえられる」
「痛みが少ない」
「矯正期間が短い」
という点でも、おすすめの治療法です。
調査対象:20~50代男女の利用者/調査方法:インターネット調査
- Q.矯正期間はどれくらい?
- Q.総額費用はどれくらい?
マウスピース矯正の効果や満足度、
矯正にかかる期間・費用は分かったものの
どのブランドを選べば良いかわからない
という方も多いでしょう。
そんな方のために
マウスピース矯正ブランドを選ぶときの
3つのポイントをご紹介します。
ぜひ参考にしてみてくださいね!
-
全国展開しているブランドは、施術実績が多く、医師の質も高いため安心して治療を受けることができます。
また家や職場の近くでクリニックを見つけやすかったり、予約が取りやすかったりするため、ブランドを選ぶ際には重要なポイントになります!
当サイトでは院数が多いブランドをご紹介しています。
お住まいから通いやすいところに院があるかチェックしてみてください♪ -
マウスピース矯正治療は、治療前・治療中・治療完了後それぞれで費用が発生します。
- 矯正治療前
-
精密検査/診察料
カウンセリング料
- 矯正治療中
-
矯正装置料
矯正装置の装着料
メンテナンス料
- 矯正治療後
-
保定装置料
メンテナンス料
矯正費用だけ確認していると、思いもよらない費用が掛かってしまった…なんてことも。
だから、矯正費用内に検査やメンテナンスに掛かる費用が含まれている、初診料・再診料「0円」のブランドを選ぶのがオススメです!
-
歯並びの状態は人によってさまざま。
マウスピース矯正という方法は一貫しているものの、歯並び次第では矯正のアプローチも異なります。マウスピース矯正に関する症例が多いブランドであれば、過去の経験を活かして対応してくれるため信頼できます。
当サイトでは、実際に施術を受けたユーザーの症例をいくつか掲載しているので、ぜひブランド選びの参考にしてみてください!
今回編集部では、本当におすすめできるブランドだけを紹介するために、人気の15ブランドの値段・提携院数を中心に徹底比較しました。
それでは、今回の調査をもとに本当におすすめできるマウスピース矯正ブランドおすすめ5選をご紹介します。
表で比較して、気になるブランドはまず公式サイトをチェックしてみましょう♪
|
|
ウィスマイル
|
キレイライン矯正
|
DDデンタルクリニック
|
ゼニュムクリア
|
エミニナル矯正
|
|---|---|---|---|---|---|
| 初診料 |
0円 |
0円 |
0円 |
オンライン無料診断 |
0円 |
| 料金プラン |
8回コース 月額1,925円~ |
10回コース 月額約3,100円〜 |
ライトパッケージ 月額3,300円~ |
月額3,600円~ |
ライトプラン 月額2,750円~ |
| 追加料金 |
毎月の調整料0円 |
再診料3,300円〜※3 |
再診療 5500円※3 |
精密検査代11,000円 キャッシュバックで無料! |
リテーナー代 22,000円 |
| 矯正期間 |
3ヶ月〜 |
2.5ヶ月〜 |
詳しくは検診で確認 |
3ヶ月〜 |
3ヶ月〜 |
| 院数 |
153院 |
125院 |
23院 |
13院 |
48院 |
|
|
|
|
|
|
ブランドを比較する際は、なるべく2つ以上のブランドのカウンセリングを受けてみましょう!
気になるブランドがあれば公式サイトをから予約してみてくださいね♪
-

- 料金プラン
-
1回お試し
コース1,650円 8回コース 月額1,925円〜 12回コース 月額2,940円〜 - 基本情報
-
初回検診 0円
※院により異なる追加料金 毎月の調整料0円 矯正期間 平均3ヶ月 院数 153院
- おすすめポイント
-
-
毎月30名限定!1,650円の1回お試しプラン!
-
月額1,925円〜で始めやすい!
-
定額以外の追加料金0円(毎月の調整料なし)
-
世界No.1シェア「インビザライン」使用で高品質な矯正※クリニックによって異なる
-
- ウィスマイルの症例
-
- 症例1
- 症例2
- 症例3
- 症例4
- 症例5
BEFORE
AFTER
費 用
23.1万円(月額3,850円) 治療期間
4ヶ月目 BEFORE
AFTER
費 用
51.7万円(月額8,580円) 治療期間
9ヶ月目 BEFORE
AFTER
費 用
35.2万円(月額5,830円) 治療期間
6ヶ月目 BEFORE
AFTER
費 用
10.78万円(月額1,760円) 治療期間
2ヶ月目 ※上顎前歯部、下顎前歯部の叢生をマウスピース型矯正装置で改善したケース。BEFORE
AFTER
費 用
66万円(月額11,000円) 治療期間
12ヶ月目
矯正治療上のリスクとして、治療中の虫歯、歯根吸収、歯肉炎 ・歯周炎の発生などが考えられる。
-

- 料金プラン
-
都度払い 44,000円 コース払い 月額 約3,100円〜 - 基本情報
-
※保険適用外の自由診療です 初回検診 0円 追加料金 再診料3,300円〜
歯科医師の判断による追加治療費、リテーナー代別途矯正期間 最短2.5ヶ月 院数 125院
- おすすめポイント
-
-
目安矯正期間が最短2.5ヶ月!
-
提携クリニック全国125院以上で通いやすい!
-
ホワイトニングも同時にできる!
※アタッチメント(追加治療)との併用はできません。ホワイトニング剤の使用タイミングは歯科医師までご相談ください。
-
- キレイライン矯正の症例
-
- 症例1
- 症例2
- 症例3
- 症例4
- 症例5
BEFORE
AFTER
費 用
17.6万円 治療期間
6ヶ月目 BEFORE
AFTER
費 用
17.6万円 治療期間
4.5ヶ月目 BEFORE
AFTER
費 用
17.6万円 治療期間
6ヶ月目 BEFORE
AFTER
費 用
31.9万円 治療期間
8ヶ月目 ※掲載している症例写真は、2024年4月のキレイライン矯正リニューアル以前に治療終了された患者様のものです。BEFORE
AFTER
費 用
31.9万円 治療期間
7ヶ月目
現在の治療費用・再診料・追加治療費用とは異なります。
※マウスピース矯正(キレイライン矯正含む)の主なリスク
虫歯・歯肉炎・歯周病・ブラックトライアングル・歯根吸収・歯肉退縮・1日20時間以上のマウスピース装着が必須・マウスピースにより痛みを感じる可能性・治療中に一時的に咬み合わせに不具合をきたす可能性
-

- 料金プラン
-
ライトパッケージ 月額3,300円~ モデレートパッケージ 48万円 コンプリヘンシブパッケージ 67万円 - 基本情報
-
初回検診 0円 追加料金 再診療 5500円
歯科医師の判断による追加治療費、リテーナー代別途矯正期間 詳しくは検診で確認 院数 23院
-

- 料金プラン
-
ゼニュムクリア 月額3,600円~ ゼニュムクリアプラス 月額6,500円~ モデレート 68.2万円(税込) - 基本情報
-
初回検診 0円 追加料金 精密検査代11,000円
キャッシュバックで無料!矯正期間 3ヶ月〜 院数 13院
-

- 料金プラン
-
ライトプラン 月額2,750円〜 ミドルプラン 66万円 フルプラン 提携クリニックにより異なる - 基本情報
-
初回検診 0円 追加料金 リテーナー代22,000円 矯正期間 3ヶ月〜 院数 48院
-

- 料金プラン
-
SHORT 30.8万円 STANDARD 42.9万円 LONG 55.44万円 - 基本情報
-
初回検診 3,300円 追加料金 再診料2,200円 矯正期間 3ヶ月~ 院数 50院
-

- 料金プラン
-
Basic 月額3,600円~ Medium 月額4,500円~ Pro 月額6,300円~ - 基本情報
-
初回検診 0円 追加料金 - 矯正期間 5ヶ月~ 院数 5院




